杨丽团队揭示光调控植物病原细菌毒力的分子机制
净水器可以过滤掉细菌、病毒等病原体 #生活常识# #净水机#

生命科学
Life science
植物病害对全球粮食安全构成了日益严峻的威胁。病害的发生及其严重程度受寄主植物的易感性、病原物的毒力以及环境条件的综合影响,这一经典概念被称为植物病理学中的“病害三角”。在这一框架中,光作为最重要的环境因子之一,不仅影响植物的生长发育,也在植物与病原菌的相互作用中扮演了关键角色。已有研究表明,光可以调控植物的抗病性,但光是否直接影响病原菌的毒力?如果是,它的分子机制又如何?这个问题一直悬而未决。
2025年9月2日,中国农业大学杨丽教授团队在Cell Press细胞出版社旗下期刊Cell Host & Microbe上发表了题为 “The HY5-NPR1 module governs light-dependent virulence of a plant bacterial pathogen” 的研究论文。该研究首次揭示了光在病原菌毒力调控中的核心作用,发现丁香假单胞菌(Pseudomonas syringae pv. tomato DC3000)关键效应蛋白 AvrPtoB 的毒力完全依赖于光信号,并深入阐明了这一现象背后的分子机制。
中国农业大学植保学院博士后刘鹏涛与博士研究生赵兆为论文的第一作者,杨丽教授为通讯作者。
▲长按图片识别二维码阅读原文

图1 光信号如何重塑病原细菌毒力与植物免疫防御的攻防之战
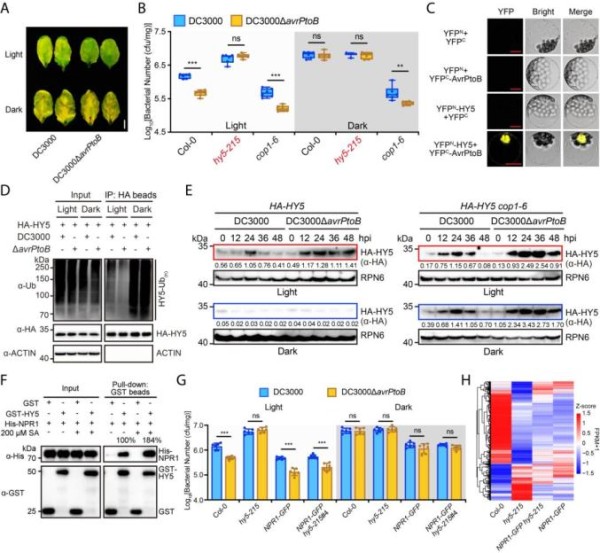
研究人员首先观察到,在黑暗条件下,接种丁香假单胞菌 DC3000 及其36个III型效应子缺失菌株(D36E)时,两者的毒力差异显著减弱,这提示部分效应子的毒力可能依赖于光照。通过进一步筛选,研究团队发现效应子AvrPtoB的毒力完全依赖于光。
机制研究发现,寄主植物的光形态建成核心转录因子 HY5 是调控AvrPtoB光依赖性毒力的关键因子。在光照条件下,AvrPtoB 进入植物细胞核,与 HY5 直接相互作用,通过泛素化途径促进 HY5 降解,从而抑制植物的免疫反应。质谱分析确认了 HY5 的两个关键泛素化修饰位点(Lys53 和Lys110)。对突变体HY5(K53R/K110R)回补转基因材料的表型分析进一步证明,这些修饰位点对 AvrPtoB 的毒力至关重要。在黑暗环境下,HY5 主要通过 COP1 介导降解,导致 AvrPtoB 无法靶向 HY5,从而使其毒力完全丧失。进一步研究揭示,HY5 本身是植物免疫的正调控因子:一方面,HY5能够直接结合免疫相关基因的启动子并激活其转录;另一方面,HY5还通过与植物免疫激素水杨酸(SA)受体NPR1直接互作,竞争性抑制 NPR3/4 介导的NPR1降解,从而维持NPR1 的稳定性,增强水杨酸信号通路的功能。
基于以上结果,研究团队揭示了“HY5-NPR1模块”在光信号介导的病原菌毒力和植物免疫中的新作用机制,并构建了“光—病原菌—植物”三者互作的全新理论框架。该研究不仅阐明了细菌效应子如何直接靶向植物光信号通路的核心组分,还为利用环境因子开展植物病害防控提供了新的思路与方向。

图2 HY5-NPR1模块介导的AvrPtoB光依赖性毒力与植物免疫的调控机制
该研究得到国家自然科学基金,北京市自然科学基金,国家高层次青年人才项目,中国高校基本科研基金,中国科协青年人才托举工程,拼多多-中国农业大学研究基金和中国农业大学2115人才发展计划的资助。
作者专访
Cell Press细胞出版社公众号特别邀请刘鹏涛博士、杨丽教授进行了专访,为大家进一步详细解读。
CellPress:
请问为什么选择从光的角度研究植物与病原菌的相互作用?
刘鹏涛博士:
已有研究表明,湿度和高温等环境因子对植物免疫具有重要影响。在研究伊始,我们注意到光作为自然界最基本的环境因子之一,也对植物免疫产生了显著作用。然而,光如何精细调节植物与病原菌的互作,尤其是如何影响病原菌的毒力,尚不清楚。在实验过程中,我们偶然发现:丁香假单胞菌 DC3000 野生型菌株与其效应因子缺失突变体 D36E 在光照条件下表现出显著的毒力差异,而在黑暗中这种差异明显减弱。这一现象提示,部分效应蛋白的毒力可能依赖光环境调控。基于这一线索,我们决定从光的角度切入,系统探索植物—病原菌互作的新机制。
CellPress:
本项研究有哪些重要意义?
杨丽教授:
我们的研究取得了三方面的重要突破。首先,我们发现细菌效应蛋白能够直接靶向植物光信号通路的核心组分,揭示了病原菌毒力受光调控的新机制。其次,我们阐明了光形态建成因子 HY5 作为免疫正调控因子的分子机制,包括其直接激活防御基因表达,并维持水杨酸受体 NPR1 稳定性的作用。最后,我们提出了一个全新的“光—病原菌—植物免疫调控”模块,不仅为理解环境因子如何塑造植物与病原菌的互作提供了新思路,也为光信号与植物—病原物互作的研究开辟了新方向。
CellPress:
基于当前研究成果,您团队的下一步研究方向是什么?
杨丽教授:
我们的研究仍有很多值得深入探讨的方向。首先,我们希望探索其他病原菌效应蛋白是否也具有类似的光依赖毒力机制。自然界中存在大量不同类型的病原菌,它们可能也进化出利用环境信号调控宿主免疫的策略。其次,我们还计划进一步研究其他光信号因子是否也在植物免疫中扮演重要角色。HY5 等光形态建成通路中的因子在植物中高度保守,可能在不同植物免疫系统中发挥类似作用。最后,我们希望基于这些分子机制,结合基因编辑技术,培育出既抗病又高产的新型作物,以应对农业生产中的“生长-免疫平衡”的难题。
作者介绍
杨丽
教授
杨丽,中国农业大学植物保护学院教授、博士生导师。2010年本科毕业于中国农业大学,2015年获北京大学博士学位。2020年8月加入中国农业大学,成立“植物免疫调控与抗病杂交育种”实验室。2022年入选国家高层次青年人才计划,同年入选“中国科协青年人才托举工程”。课题组的研究方向主要包括抗病杂种优势的形成机制与应用,以及光信号在植物—病原物互作中的调控作用。相关研究成果以通讯作者或第一作者身份发表于 Cell Host & Microbe、Nature Communications、PNAS、Plant Cell 等期刊;主持国家自然科学基金等科研项目10余项。

刘鹏涛博士(右一)中国农业大学植物保护学院博士后。2023年获得北京大学博士学位,导师为邓兴旺教授。以第一作者(含共同)在Cell Host & Microbe、Nature Communications上发表2篇研究论文。
赵兆(左一)中国农业大学植物保护学院博士研究生。2025年获得中国农业大学硕士学位,导师为杨丽教授。以共同第一作者在Cell Host & Microbe上发表1篇研究论文。
阅读原文
网址:杨丽团队揭示光调控植物病原细菌毒力的分子机制 https://www.yuejiaxmz.com/news/view/1368070
相关内容
植物所揭示光调控种子休眠和萌发的分子机理揭示光感知调控血糖代谢的神经机制
节食减肥为何易反弹?翟琦巍团队揭示背后的机制并提出相应对策
秦跟基课题组揭示弱光下种子萌发调控新机制
抗菌涂料=抗病毒涂料?
植物与微生物的攻防战!南京农业大学王源超教授团队在植物学顶级期刊(IF=17.1)发表最新成果,解锁“广谱抗病秘籍”
北师大李阳教授团队《自然·通讯》:构建同步负载银单原子与纳米颗粒的新型漂浮式光催化剂用于高效消毒
细菌性食物中毒的预防措施研究
Nature子刊:叶海峰团队开发新型光遗传学技术,实现光照减肥
中国科大揭示光感知调控血糖代谢的神经机制

