天坛科普——躲藏在冰箱里的“隐形杀手”—李斯特菌
在冰箱找不到东西,找半天后发现就在自己手里,可以讲:'这是冰箱里的隐形食物。' #生活乐趣# #日常生活趣事# #日常生活笑话# #居家妙趣#
67岁的胡先生是一位退休工人,平日身体尚可。一天清晨,他突发剧烈头痛、频繁呕吐,并很快出现神志混乱。家属最初以为是普通感冒,但两天后胡先生开始语无伦次,辨认不清亲人,甚至无法独立行走。
在当地医院接受初步治疗无明显好转后,胡先生被紧急转入首都医科大学附属北京天坛医院。入院时他已高热至39.5℃,神志严重障碍。脑脊液检查提示白细胞飙升至5200/μL,蛋白浓度达3.5g/L,糖浓度仅为1.2mmol/L,提示严重细菌性脑膜炎。
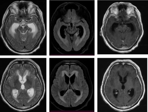
更令人担忧的是,患者在住院第3天病情急剧恶化:突发深度昏迷,血压下降,呼吸衰竭,不得不气管插管并转入神经重症监护室(NICU)。头部MRI显示脑内多发异常信号;室管膜及脑膜强化;幕上脑积水伴室旁水肿。

在等待病原学结果期间,治疗团队根据患者病情及流行病学背景,予以利奈唑胺联合青霉素钠抗感染治疗,以覆盖李斯特菌等可能致病菌。最终,血液和脑脊液培养报告证实:致病菌正是单核细胞增生李斯特菌——一种在冰箱中也能长期存活、对常规头孢类抗生素天然耐药的“隐匿杀手”。
随后,患者在ICU接受了包括利奈唑胺联合青霉素的强化抗菌治疗,并配合脑室引流手术,控制颅内压力。在严密监护和多学科会诊下,他的情况逐渐稳定。第25天,胡先生终于睁开双眼,开始回应简单指令,呼吸平稳,血压正常,最终顺利转出ICU并康复出院。
感染李斯特菌差点让胡先生失去宝贵的生命,这也向我们敲响警钟:“隐形杀手”——李斯特菌一直潜伏在我们身边,李斯特菌为什么这么可怕?谁最容易“中招”?日常生活中如何避免感染呢?
隐匿的病原:李斯特菌从哪里来?
李斯特菌(Listeria monocytogenes)是一种革兰阳性短杆菌,最“擅长”在冰箱这种低温环境中长期潜伏。它常藏身于日常食用的一些冷藏食品中,例如熟食冷盘、冷切肉类、烟熏海鲜或冷藏奶酪等未经充分加热的即食制品。如果储存不当或食用不洁,这些看似普通的食品中就可能隐藏着李斯特菌的踪影。多数健康人摄入李斯特菌后,可能只出现轻度腹泻。但对于老年人、孕妇、新生儿以及免疫力低下者来说,它可由肠道进入血液,再侵入中枢神经系统,引发脑膜炎或脑干脑炎。
“爬”进大脑:它是怎么引发脑膜炎的?
李斯特菌不同于普通细菌,它不仅能在外环境中顽强生存,更具备“潜伏”在人类免疫细胞内的本领。当人们摄入被污染的食物后,细菌可能首先穿越肠道屏障进入血液循环。随后,它会钻入巨噬细胞等免疫细胞中“搭便车”,绕过人体免疫监视,逐渐逼近并穿透血脑屏障,最终侵袭脑膜或脑组织,引发严重感染。一旦进入中枢神经系统,就可能引发广泛炎症,甚至出现脑室积液、脑干损伤和脑疝风险,极易危及生命。
感染李斯特菌临床表现有哪些?警惕误诊
李斯特菌脑膜炎的临床表现常常不典型,容易掩盖其严重性。患者可能先表现为发热、头痛或频繁呕吐等类似普通病毒感染的症状,但紧接着可能迅速出现意识模糊、言语混乱,甚至陷入昏迷。有些患者还会出现步态不稳、肢体震颤,提示脑干功能受损。值得注意的是,不少患者并没有传统脑膜炎常见的颈部强直等刺激征,因而在临床上极易被误认为是脑梗、癫痫发作或精神异常,延误诊治。这些非典型症状使得李斯特菌脑膜炎容易被误认为脑卒中、癫痫发作或精神障碍,从而延误诊治。
医生是怎么诊断的?
确诊李斯特菌脑膜炎并非易事。医生通常需要根据患者的年龄、基础疾病以及临床表现来判断其风险背景。例如,老年人、免疫力低下者伴有发热、意识改变时,便应引起高度警觉。脑脊液检查往往提示白细胞明显升高,蛋白含量升高,而葡萄糖浓度降低,形成典型的细菌性脑膜炎图谱。进一步的确诊则依赖于血液或脑脊液培养,这虽然可能需要数天时间,但一旦检出李斯特菌便可确诊。此外,脑部影像学检查如MRI也能帮助医生识别脑膜、脑干或脑室的异常变化,为早期干预提供线索。李斯特菌脑膜炎诊断挑战较大,但只要提高警惕,结合多项检查仍能及时识别。
李斯特菌怕什么药?
李斯特菌对很多常见的头孢菌素类抗生素具有天然耐药性,因此,如果治疗方案未能覆盖李斯特菌,很可能无效。临床上,首选的治疗是使用氨苄西林或青霉素G,并在部分情况下联合庆大霉素以增强疗效。若患者对青霉素类药物过敏,还可改用利奈唑胺或复方磺胺甲噁唑-甲氧苄啶等替代方案。整个治疗周期通常需持续3周以上,对于重症患者甚至更长,以确保彻底清除感染并防止复发。
谁最容易“中招”?如何预防?
并非所有人都容易感染李斯特菌,但一些特定人群却格外脆弱。年龄超过60岁的老年人、孕妇(尤其是其胎儿也可能受累)、器官移植接受者、肿瘤患者、糖尿病患者以及那些正在接受免疫抑制治疗的人群,感染风险明显升高。
预防李斯特菌感染的关键在于良好的饮食习惯和食品安全意识。所有即食熟食在食用前都应充分加热,确保食物中心温度达到70°C以上。对于冷藏奶酪、烟熏海鲜等高风险食品应谨慎选择。冰箱要定期清洁,避免生熟食物交叉污染。特别是孕妇和高危人群,尽量避免摄入生冷或未经充分加热的食物,才能远离这个隐匿在餐桌背后的病原体。
李斯特菌脑膜炎虽少见,却危险。幸运的是,只要大家提高警惕、早期识别、规范治疗,大多数患者都能康复。
这位67岁患者的经历是一次深刻提醒:不是所有的头痛、呕吐、意识异常,都是“脑梗”“老年痴呆”或“感冒”。有时候,它是一个来自冰箱的隐形威胁——李斯特菌。
网址:天坛科普——躲藏在冰箱里的“隐形杀手”—李斯特菌 https://www.yuejiaxmz.com/news/view/1385776
相关内容
冷藏食品引发疾病 警惕冰箱杀手李斯特菌警惕!冰箱里的“隐藏杀手”
夏天小心这个“冰箱杀手”,五招教你防范李斯特菌
健康科普丨夏季冰箱冷藏食物提示,科学防范李斯特菌感染
夏季冰箱冷藏食物提示,科学防范李斯特菌感染
冰箱里有这6类食物,千万提防李斯特菌
当心!冰箱里的细菌「杀手」
冰箱里的隐形“杀手”| 6个方法解决异味
【卫生健康科普】夏天,千万要重视这个“冰箱杀手”!
冰箱里的隐形杀手:从一例脑膜炎看现代人的食品安全困境
随便看看
- 【江苏省省美协会员
- 苏国超致王个簃之子王公助信札1页无封。苏国超(1945.03—2011.11.5),字甫元,四川资阳人。国家一级美术师,中国美术家协会四川分会原会员,中国书法家协会四川分会原会员,原中国历史博物馆画廊艺术指导委员会客座教授,四川嘉州画院原副院长,四川省书画院、成都画院原特聘画师。以画“泥娃”著称。
- ?)日本画家,号南风、云鹤、虎山、鲤城山。相继师承里见云岭、大桥翠石。四条作派画家,喜游历,善写生,长于人物、动物,尤以画虎为佳。曾将《高砂图》作为重要庆典活动的礼品献给宫内。绢本手绘《雪の五重の塔》装裱立轴画一幅 纸裱 两侧无轴头 钤印 画心尺寸:107*39CM 立轴尺寸:*189*53CM
- (132)《青云石砚台》一方 方形上端有凹槽造型 背面刻“沈阳药科大学 工商管理学院”字样和相关校徽等徽章 石质优良,幼嫩、纹理细腻、坚实且滋润。尺寸:17.7*11.7*2.2(cm) 重量:1113.2克 强调实用性 做工细腻 精致典雅 砚台保存完好 日本画用 文房用具 书道用具 毛笔书法绘画用品 文房四宝之一“第494届沫沫小姐的书店0元无托拍卖会”
- 元青花“鬼谷子下山”的鼻祖,大宋明道元年山水人物青花大罐,腹径近40公分,重6.1公斤。以唐朝诗人来鹄的诗句“无限旱苗枯欲尽,悠悠闲处作奇峰''抒发意境。书法大家风范,绘画栩栩如生。画中人物悠悠然坐于虎背上,可谓后期元青花“鬼谷子下山“的鼻祖原型(2005年在伦敦佳士得拍价折合人民币2.3亿元)。故此罐无论文物价值和艺术价值都是不可估量的,填补了我国宋代青花瓷器的空白。

