瓷贴面?不就是给牙齿贴个「瓷砖」,为啥这么贵!
厨房瓷砖防滑处理,可在瓷砖背面贴防滑贴。 #生活技巧# #清洁技巧# #厨房瓷砖清洁#
大白牙君的朋友们都很爱美,关于牙齿变白这个议题我相信大家一定感兴趣!以前给大家细细讲过冷光美白(→点击围观),但是瓷贴面就是一带而过,于是后台不停有小朋友问:「瓷贴面靠不靠谱?」「瓷贴面要多少钱啊?」「磨了牙齿会不会酸?」……
就和标题里说的一样,瓷贴面,顾名思义就是把一块「瓷砖」贴在牙齿上啊!
【此处:黑人问号.jpg】
于是,原本黄黄的牙齿被人工制作的洁白无暇的「瓷片」遮盖起来,最后就可以得到美美的效果啦。

▲只是一堆「瓷砖」?
但是!给牙齿做瓷贴面可比装修贴瓷砖精细多了!今天大白就和大家来仔细聊聊瓷贴面的上上下下、前前后后、左左右右……
01 什么样的牙齿适合做瓷贴面?
对于比较浅的牙齿染色、氟斑牙,我们可以使用冷光美白的方式让牙齿变白变好看。但是,有时候牙齿上面的染色特别严重,冷光美白没效果,甚至还有牙齿缺角、破损,但整个磨小做个全瓷牙套又觉得太可惜……
简单来说,有以下几种情况的小伙伴就可以考虑一下做瓷贴面:
1. 重度的氟斑牙、四环素牙,和其他各种原因造成的牙齿染色或天生牙齿(很)偏黄,且没有办法通过漂白的方式让牙齿变白;

▲牙齿染色严重,无法通过漂白术变白,但又很想白白白!
2. 牙齿部分缺损、磨耗、折断…… 不过缺损很小,还不至于伤到牙神经做根管治疗;

▲牙齿长期磨损变短、缺角也可以通过瓷贴面恢复外形
3. 牙齿过小、牙齿中间有缝隙,或者仅有轻微的不齐,但是又不愿意花时间矫正牙齿消灭空隙;

▲由于牙齿过小,天生牙齿有缝
02 瓷贴面是怎么制作的?
瓷贴面一般做在最前面的牙齿上,毕竟我们一张开嘴别人就能看到这些牙齿,因此在前牙做瓷贴面修复也是最常见的。
我们就以前牙的瓷贴面为例,给大家看看瓷贴面是怎么制作并发挥作用的吧!
第一次就诊:
1. 先进行牙齿的健康检查,蛀牙、牙龈炎都要先做好治疗。确定需要做瓷贴面修复的,开始进行最终的修复效果的设计(包括颜色、形状)。一般还会先制取一个橡胶模型,作为后续操作的指标;

▲先确定到底想要什么样的颜色和形状?
2. 使用高速旋转的磨钻磨薄一层牙组织,留给将要制作的瓷贴面足够的位置。

▲磨掉的牙齿非常薄,0.3~0.5mm 的厚度自己比划一下?
3. 预备完成后,再一次进行模型制备,然后将各种设计信息一并送至加工单位的技师。

▲给磨好的牙齿再取一次模型
第二次就诊(一般间隔一周):
1. 将加工厂制作完成的瓷贴面严密贴合在之前预备的牙齿上,确认和最初的设计一致。

▲确认瓷贴面的修复效果,不满意可以(免费)重做哦~
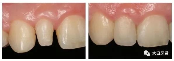
2. 将这个瓷贴面牢牢「贴」自己的牙齿上,大功告成!

▲大功告成,贴上!
03 瓷贴面为什么要磨牙齿?
变美大家都愿意,可是牙医一提到「磨牙齿」,大家就马上瑟瑟发抖,不敢张嘴了。没错,大家其实都这么想:「牙齿不是头发,磨了、削了之后又不会自己长出来,磨完之后自己岂不是就不完整了!!」
大白简单解释一下,牙齿磨除后不能重新长出来确实如此,但是我们要知道,瓷贴面再薄也是有一定厚度的,目前的技术差不多都在 0.5 mm 以内,如果不事先给牙齿磨薄一些,贴上瓷贴面就会觉得牙齿「变厚」了,首先牙齿的外形不好看,其次自己的感觉也会怪怪的。

▲预留贴面的位置,是磨牙齿的原因
那么,磨了之后有什么坏处吗?—— 几乎、没有。
因为牙齿本身表面的牙釉质的厚度约 2 ~ 2.5 mm,磨除厚度仅仅为 0.3~0.5 mm,并不会让牙齿出现永久性、不可逆的敏感、酸痛(除非本身牙齿就有折裂、磨耗),更不用说出现牙神经痛等牙髓炎症状,制作优良的瓷贴面不仅仅要在美观上让病人满意,维持健康的牙齿和牙龈都是最最基本的要求啦!
【不过更好的消息是,得益于技术的发展,现在瓷贴面可以做得越来越薄,那么磨除的部分也就越来越少,在最大程度上保护自己的牙齿,还能够得到足够的美观和舒适。】
04 做了瓷贴面还能正常吃东西吗?
完全可以吃东西!但是,不建议………… 嗑瓜子
大家应该还记得我曾经写过一篇关于「瓜子牙」的文章,没看过的可以点击下面的图片跳转查看。别小看嗑瓜子这个小小的动作,其实会让我们的门牙受到不小的力量,水滴石穿,牙齿上就会磨出一道凹槽出来。

但是瓷贴面的质地比牙齿坚硬得多,自然不会因为嗑瓜子而出现磨损。但是!坚硬的另一面是脆弱,瓷块虽然硬,但是也容易因为突如其来的应力集中出现局部的碎裂。另外,由于瓷贴面是粘在自己的牙齿上的,时间久或者受力过大也可能出现剥脱。如果完整脱落还可以再粘回去,要是碎裂了,也就只好重新制作了。

▲越坚硬,可能越脆弱
所以,大白给大家的建议是:
1. 正常(较软)的饮食完全可以驾驭,但是在使用做了贴面的门牙切咬硬物时,应该谨慎,最好避开。
2. 如果贴面脱落了,赶紧捡起来去找牙医重新贴上哦!
(不过话说回来,即便是您自己的天然牙,也不应该经常用来切咬硬物!)
05 瓷贴面为什么那么贵?
没错,知道价格的小伙伴一定会问,「薄薄的一个瓷片,居然动不动就 4、5 千块钱,真的值吗?」

▲最薄之处,不到半毫米
一个瓷贴面基本上收费和一个完整的全瓷牙冠没有差别。不知道大家见过那些工艺品级别的瓷器么?越是薄越能体现出工匠技艺的精湛,因为越薄越容易在制作过程中断裂,良品率就会下降。瓷贴面的厚度都在毫厘之间,既要在遮光性和透光性之间寻找平衡,又要保持相当的坚固和美观,凝结在这一小小瓷片中的劳动和科技价值很难估计!
好了,现在大家对瓷贴面有没有更多的认识呢?欢迎大家在留言里交流~
作者:何剑亮
本文转载自「大白牙君」微信公众号(ID:dabaiyajun),未经允许请勿转载。如需转载,请联系原作者。
图片来源:大白牙君微信公众号,如涉及侵权,请联系我们删除。
网址:瓷贴面?不就是给牙齿贴个「瓷砖」,为啥这么贵! https://www.yuejiaxmz.com/news/view/1389812
相关内容
什么是瓷砖贴面「贴面砖是什么」瓷砖贴纸好不好,瓷砖贴纸怎么贴
什么是瓷贴面?
在瓷砖上贴瓷砖怎么贴
怎么给墙面贴瓷砖
瓷砖薄贴教程 瓷砖薄贴法怎么样
墙面贴瓷砖价钱是多少 贴瓷砖要注意什么
客厅墙面贴瓷砖好不好
【瓷贴面是什么】
【墙贴瓷砖】

