《Science》面对生活压力如何保持冷静?科学家揭示神经肽Y通过Y1受体抑制去甲肾上腺素系统缓解焦虑机制
如何通过冥想缓解压力与焦虑 #生活技巧# #健康生活方式# #身心健康讲座#

脑声小店基于深度科研洞察,专注为动物实验提供"简器械·精实验"解决方案。我们突破高精设备局限,开发手工定制化仪器及配件,通过科研巧思将基础工具转化为创新实验方案。产品涵盖行为学装置、操作辅助工具等,使实验室在保持操作简效的同时,实现精细化数据采集,助力科研人员以创造性思维发掘简易仪器的潜在科研价值。
我们之所以能在压力中挺住甚至成长,靠的是一套精密的生理“刹车与油门”系统:一个负责迅速启动应激反应,让我们“战斗或逃跑”;另一个则及时“踩刹车”,防止压力失控。正是这两者的协同配合,让我们在逆境中保持心理平衡。对具有挑战性环境的适应性反应依赖于蓝斑(LC)的正常功能。蓝斑是大脑中去甲肾上腺素的主要来源,也是介导初始应激反应的关键中枢。

(图片源自网络)
基于此,2025年7月23日,乌得勒支大学Frank J. Meye研究团队在Science杂志发表了“Neuropeptide Y neurons surrounding the locus coeruleus inhibit noradrenergic system activity to reduce anxiety”揭示了环绕蓝斑的神经肽Y神经元通过抑制去甲肾上腺素系统的活性来减轻焦虑。

通过功能性神经环路解析和在体因果干预手段,作者在小鼠中研究了一种内源性的肽能调控系统,该系统可限制蓝斑的去甲肾上腺素输出,特别关注围绕蓝斑去甲肾上腺素能细胞的一群表达神经肽Y(NPY)的神经元。作者发现这些位于蓝斑周围的NPY神经元(peri-LCNPY)通过NPY-Y1R信号通路对蓝斑发挥神经调节性的抑制作用。在未受应激的正常条件下,这种调控机制对焦虑样行为具有双向调节作用。在经历应激后,peri-LCNPY神经元被激活,导致体内蓝斑区域的NPY释放增加。而增强的peri-LCNPY神经元活动则有助于缓解应激后的焦虑反应。作者揭示了peri-LCNPY神经元对蓝斑的神经调节在焦虑调控中的因果作用,为理解机体在逆境中产生适应性反应的内源性系统提供了机制性见解。

图一 Peri-LCNPY神经元分布在蓝斑核心区内侧
为了检测LC是否存在表达神经肽Y(NPY)的神经元,研究人员将NPY-cre小鼠与Ai14报告小鼠杂交,使tdTomato(tdT)荧光蛋白仅在表达NPY的细胞中表达。
作者在蓝斑核心区附近观察到大量tdT+细胞,这些区域通常由去甲肾上腺素能神经元占据。研究揭示了围绕蓝斑的NPY神经元(peri-LCNPY)与酪氨酸羟化酶(TH)标记的蓝斑去甲肾上腺素能神经元(LCNE)之间显著不同的空间分布和分子特征。通过在NPY-cre:Ai14小鼠中进行TH免疫标记和三维重建,发现peri-LCNPY神经元主要集中在蓝斑核心区的内侧(约60%)并分布在腹侧(约40%)和背侧(约20%)。进一步实验显示仅1.8%的peri-LCNPY细胞同时表达TH,而在野生型小鼠中也验证了这一结果,表明peri-LCNPY与LCNE神经元几乎不重叠。
通过对Npy、Slc17a6(谷氨酸标记)和Gad2(GABA标记)的检测,发现peri-LCNPY神经元包括肽能(37.9%)、谷氨酸能(25.8%)、GABA能(15.9%)及混合型(20.5%)等亚群,并且只有少数(27.4%)为GABA能。虽然蓝斑周围区域富含SST+ GABA能神经元,但仅有6.4%的peri-LCNPY神经元表达SST。综上所述,peri-LCNPY神经元是一类独立于去甲肾上腺素能和胆碱能系统、功能多样的神经元群体,主要位于蓝斑的内侧及其树突区域内。

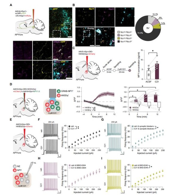
图二 Peri-LCNPY神经元通过Y1受体降低LCNE的兴奋性
脑声常谈建立了多个《动物模型构建与行为评估》交流群,群内分享各种经典和前沿的行为范式,共同交流解决动物实验中遇到的棘手问题,避坑少走弯路!有需要的老师可以扫码添加微信进入讨论群!
接下来,作者猜测peri-LCNPY神经元是否在蓝斑区域内形成局部投射,从而为LCNE提供直接的神经肽Y输入呢。
研究人员利用Cre依赖的病毒示踪技术对peri-LCNPY神经元进行了顺行与逆行标记,随后绘制了其神经连接图谱。结果表明,这些神经元主要投射到蓝斑核心区及其树突区域,未发现其向蓝斑典型输出靶区的长距离投射,提示其具有局部调控功能。通过表达突触蛋白mRuby的AAV病毒,研究进一步表明peri-LCNPY轴突在蓝斑区域形成突触连接,表明它们可直接调控LCNE。
在功能层面,化学遗传学激活peri-LCNPY神经元可显著增加局部NPY释放,并通过电生理记录、ELISA和GRABNPY传感器三种方法验证。激活后,LCNE神经元表现出兴奋性下降、膜电位超极化,且该效应在阻断网络活动后仍存在,提示为直接作用。进一步研究表明,该效应可被Y1受体拮抗剂BIBO-3304完全阻断,而Y2受体拮抗剂无影响,表明NPY通过Y1受体抑制LCNE神经元兴奋性。

图三 peri-LCNPY神经元对急性应激产生反应,并调节应激诱发的焦虑行为
LC是调控初始应激反应的重要脑区,也与应激诱导的病理状态的发展密切相关。
基于此前的发现,作者推测peri-LCNPY神经元不仅在未受应激的条件下对LCNE起到神经调节作用,在应激后也可能通过抑制LCNE的兴奋性从而缓解应激引发的焦虑情绪。为了验证这一假设,接下来研究了应激是否激活了peri-LCNPY神经元,以及这种激活是否会导致该区域NPY的释放。
作者首先建立了一种应激模型:让小鼠反复接受足底电击(FS),这种处理可激活蓝斑系统并诱发焦虑样行为。在经历电击的小鼠中,观察到LCNE神经元的兴奋性显著升高,表现为在电流刺激下产生更多的动作电位。此外,LCNE神经元产生动作电位所需的最小电流(即兴奋阈值)也明显降低,进一步说明应激后LCNE系统的激活。经历电击的小鼠在高架十字迷宫(EPM)中进入开放臂的时间更少,焦虑指数也更高。值得注意的是,这种焦虑样行为具有持久性。
接下来,作者研究了这种应激模型是否激活了peri-LCNPY神经元。通过检测cFos蛋白的表达水平(神经元激活的标志)来评估peri-LCNPY神经元的活动情况。结果显示,在经历电击的小鼠中,peri-LCNPY神经元中表达cFos的比例显著升高,说明这些神经元参与了初始应激反应。为了进一步验证这一结果,在含有LC的脑片中记录了来自对照组和应激小鼠的peri-LCNPY神经元的内在电生理特性。应激并未改变这些神经元的基本电生理参数,如细胞电容和膜电阻,其静息膜电位和动作电位阈值也保持不变。而在应激小鼠中,观察到在电流刺激下产生更多动作电位,进一步表明peri-LCNPY神经元在应激环境中被激活。作者的膜片钳实验表明,应激可在体外激活peri-LCNPY神经元。
作者在自由活动小鼠中使用光纤记录结合GRABNPY生物传感器实时记录电击诱发的NPY释放情况。电击开始后,GRABNPY信号迅速上升,并在电击结束后持续约5秒。这些结果表明,有害刺激可诱导蓝斑周围区域的NPY释放。体外和体内实验结果一致表明,应激可激活peri-LCNPY神经元,并导致该区域急性NPY水平升高。接下来,进一步研究了这种由NPY介导的对蓝斑的神经调节是否在应激诱发的焦虑中发挥作用。对在peri-LCNPY神经元中表达兴奋性hM3Dq或mCherry的NPY-cre小鼠施加电击应激以诱导LCNE兴奋性升高和焦虑样行为。在应激发生24小时后,给小鼠注射C21并进行高架十字迷宫测试。结果显示,在hM3Dq组中,C21显著增加了小鼠在开放臂中停留的时间和进入次数,同时整体探索行为也增强。此外,hM3Dq组的焦虑指数呈下降趋势。这些结果表明,与在未应激条件下类似,蓝斑区域的NPY信号在应激后同样具有抗焦虑作用。
总结
作者证明,在蓝斑周围区域存在一群表达NPY的神经元,它们通过Y1受体(Y1R)对蓝斑去甲肾上腺素能神经元产生直接的抑制性调控。在面临趋近-回避冲突时,这种由peri-LCNPY神经元介导的神经调节机制通过Y1R依赖的途径有效降低焦虑水平。相反,抑制这些局部神经元的活动会引发焦虑。最后发现急性应激可激活peri-LCNPY神经元并在体内诱导该区域NPY的释放。增强这些神经元的活动则可缓解由应激引起的焦虑情绪。综上所述,作者的研究结果揭示了peri-LCNPY神经元在调控蓝斑功能中的关键作用,并明确了内源性调节焦虑的神经环路机制。未来可以在体内特异性敲除Y1受体以验证其因果关系。
文章来源
10.1126/sciadv.adq0011
网址:《Science》面对生活压力如何保持冷静?科学家揭示神经肽Y通过Y1受体抑制去甲肾上腺素系统缓解焦虑机制 https://www.yuejiaxmz.com/news/view/1412768
相关内容
Science:董海龙团队等揭示压力会诱导睡眠,从而减轻焦虑焦虑和压力有什么区别?从生理机制看如何缓解焦虑
Science:压力会诱导睡眠,从而减轻焦虑
压力如山,焦虑爆棚?
【前沿科普】压力如山,焦虑爆棚?
运动锻炼如何有效缓解抑郁与焦虑?
功能医学专业分享 | 压力应激-焦虑抑郁-失眠“三步曲”(上)——应激引发生理失衡
心理压力管理工具在预防焦虑和抑郁中的科学依据
生活压力大抑郁焦虑症该怎么办
缓解压力养好生活习惯,远离精神压力带来的健康问题!

