30岁女子手脚发麻没在意,4个月后确诊脑癌!医生痛心:早有症状
学会识别癌症的早期症状,及时就医。 #生活知识# #科技生活# #健康生活技巧# #癌症#
“手脚发麻”的情况,可能每个人都体会过,短暂出现手麻脚麻,是正常生理现象。
但是,如果手脚麻木后,长时间无法缓解,就可能是疾病的信号......
年轻妈妈手脚发麻,竟是脑癌
30岁的王女士(化名),平日里照顾着可爱的儿女,日子平淡且幸福。
2022年底,她出现右侧手脚麻木的情况,年轻的她觉得这很常见,以为是平常抱娃太累了导致的,休息放松就可以了。
4个月过去了,王女士手麻脚麻症状逐渐加重,东西就拿在手里却感觉不到它的存在,她意识到可能出问题了,在家人的陪伴下前往当地医院就诊。然而检查结果犹如晴天霹雳,丘脑、脑干肿瘤,恶性程度非常高,手术难度大,极有可能下不了手术台。
王女士辗转多家医院就诊,颅脑PET-CT检查显示左侧丘脑及脑干存在异常密度影,伴蛋氨酸代谢不均匀性显著增高,高度怀疑为肿瘤性病变。
医生评估认为肿瘤无法安全切除,遂进行颅内病变穿刺活检术。术后病理确诊为(丘脑)弥漫中线胶质瘤,H3K27M突变型,WHO 4级。
这一诊断结果给王女士及其家人带来了沉重的心理打击,但他们并未放弃希望,决定前往杭州市肿瘤医院治疗。
这种脑胶质瘤,恶性程度极高
该院肿瘤放射治疗科三病区戴慧主任医师结合弥漫中线胶质瘤(H3K27M突变型,WHO4级)的分子特征及王女士的具体病情,经过全面评估后,制定了个体化综合治疗方案:在精准放疗的基础上,联合化疗及分子靶向治疗,以最大限度控制肿瘤进展,同时兼顾治疗安全性。
戴慧介绍,H3K27M突变型弥漫中线脑胶质瘤,是一种在中枢神经系统中线部位(如丘脑、脑干和脊髓)发生的高级别胶质瘤,伴有星形胶质细胞分化特征,并发生H3F3A基因上K27M突变。
这种突变改变了染色质的结构和功能,影响了基因表达调控,进而促进了肿瘤的发生和发展。患者可能出现颅内压增高、头痛、恶心、呕吐、肢体麻木、共济失调、偏瘫和认知功能障碍等症状。


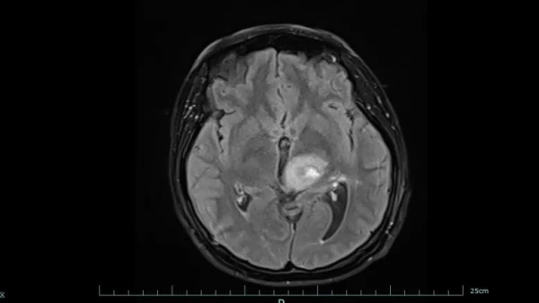
左为治疗前,右为治疗后。图片来源于稿源单位
好在经过系统治疗,黄女士的肿瘤明显缩小,病情得到有效控制。目前,她已回归正常生活和工作,生活质量显著改善。
这种脑肿瘤发病率不高,但进展快
H3K27M突变型弥漫中线脑胶质瘤主要发生在儿童,但也可见于成人,是一种极其难治的脑瘤,属于最严重的4级胶质瘤,预后比胶质母细胞瘤更差,诊断后平均预期寿命仅为10个月,5年生存率不到1%。
这类特殊类型的脑肿瘤虽然发病率不高,但进展快、治疗难度大。如果能早期发现,治疗效果会好很多。
那么,平时要留意哪些信号呢?
持续加重的头痛
在早上起床时特别明显,咳嗽、打喷嚏时会突然加重,吃普通止痛药效果不好。
身体不听使唤
走路容易歪斜,像喝醉酒一样;一边手脚越来越没力气;拿东西时手抖或拿不稳。
看东西出现异常情况
看东西重影(把一个看成两个);眼皮抬不起来或眼睛转动不灵活。
性格脾气改变
记性突然变差,原本温和的人变得易怒,小朋友可能出现学习成绩下降。
医生提醒:儿童、青少年、40岁以下的年轻人以及有肿瘤家族史的人尤其注意,这些症状可能一开始很轻微,像普通的头痛或疲劳,但如果症状越来越重,就要尽快到神经外科或肿瘤科就诊。
综合:健康杭州、杭州市肿瘤医院
[责任编辑:季爽]
网址:30岁女子手脚发麻没在意,4个月后确诊脑癌!医生痛心:早有症状 https://www.yuejiaxmz.com/news/view/1363184
相关内容
22岁女大学生确诊肠癌,饮食清淡生活规律,医生痛心:2件事害了她女子呕血3天一查竟患“癌王”!这5种症状要注意
【生活顾问】癌症早期信号全在这里,转发就是省钱,分享就是救命
3天2位抗癌博主离世,女歌手也发视频告别!医生提醒……
肝癌有哪些症状
“妇癌之王”卵巢癌大揭秘:早期没症状,这些人高危
28岁女子常用洗碗机清洗餐具,2年后确诊胃癌,医生:无知害了她
“00后”抗癌博主去世,确诊仅1年
癌症
女性早期卵巢癌有征兆

